흉부ct로 볼수있는 질환
- 건강 이야기·검진 정보
- 2025. 10. 26.
흉부ct로 볼수있는 질환
흉부CT란
흉부CT는 말 그대로 가슴 속을 정밀하게 들여다보는 검사입니다. 예전에는 엑스레이로도 충분하다고 생각했지만, 지금은 보이지 않는 작은 변화들이 병을 가르는 시대가 되었죠. 실제로 제 지인은 계속 기침이 나서 감기인 줄 알았는데, 병원에서 흉부CT를 찍어보니 기관지염과 초기 폐렴이 동시에 진행 중이었습니다. 엑스레이로는 전혀 보이지 않던 부분이었어요.

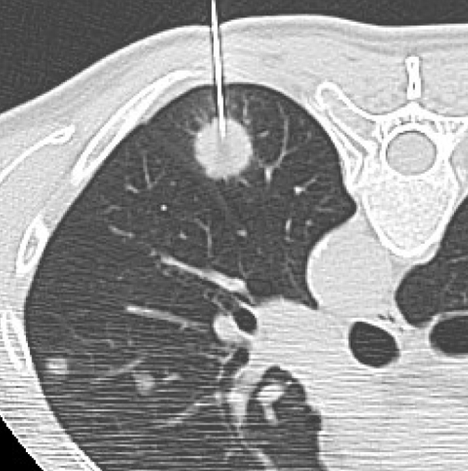
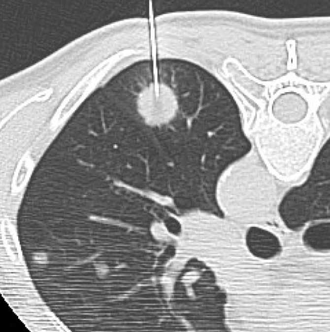
이 검사는 X선을 여러 각도에서 투사해 가슴 속을 단면으로 나누고, 컴퓨터가 이를 조합해 입체적으로 보여줍니다. 흉부ct로 볼수있는 질환 폐, 기관지, 심장, 혈관, 흉막, 림프절, 늑골까지 모두 관찰할 수 있어요. 몸을 절개하지 않고 내부를 볼 수 있으니 환자에게 부담이 적습니다. 조영제(혈관이나 염증 부위를 선명하게 보여주는 약물)를 사용하는 경우에는 정맥으로 주입하기도 하지만, 대부분은 통증이 거의 없습니다.


흉부 엑스레이와 차이점
엑스레이는 가볍고 빠른 검사예요. 병원에서 기침이나 흉통이 있으면 가장 먼저 찍는 사진이죠. 하지만 엑스레이는 가슴 속 장기를 한 번에 찍기 때문에, 여러 구조가 겹쳐 보입니다. 그만큼 정확한 구분이 어렵고, 미세한 결절이나 염증은 지나치기 쉽습니다.
흉부CT는 이야기가 달라요. 얇게 자른 단면을 수백 장 촬영하기 때문에, 작은 병변도 놓치지 않습니다. 마치 산 전체를 한 장의 사진으로 보는 엑스레이와 달리, CT는 나무 한 그루 한 그루를 자세히 보는 느낌이에요. 예전에 병원에서 일했던 친구 말로는, 엑스레이에 아무 이상이 없던 환자가 CT에서 폐암 초기 진단을 받은 경우도 많았다고 합니다. 그만큼 CT는 정밀한 탐색 도구입니다.


흉부CT로 볼 수 있는 질환
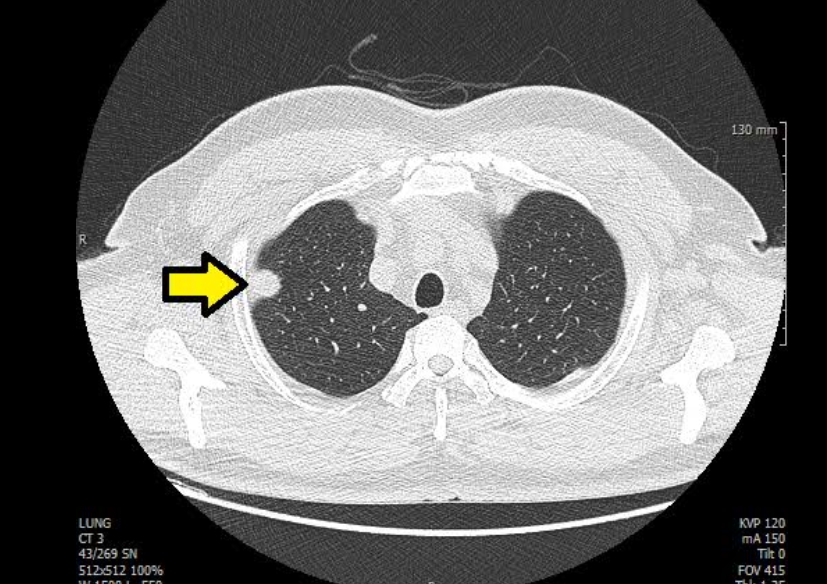
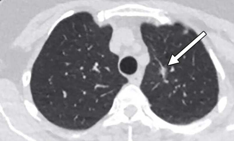
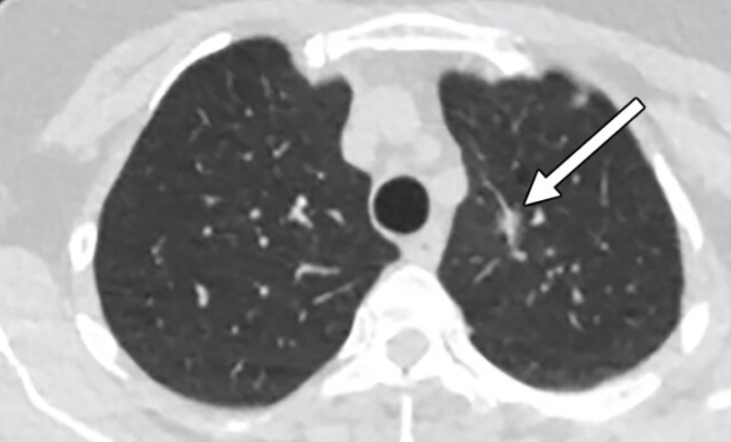
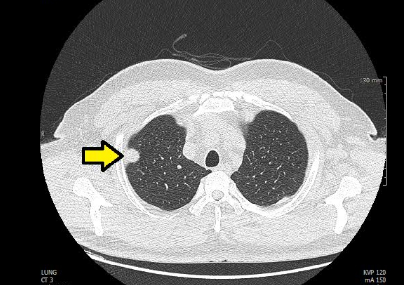
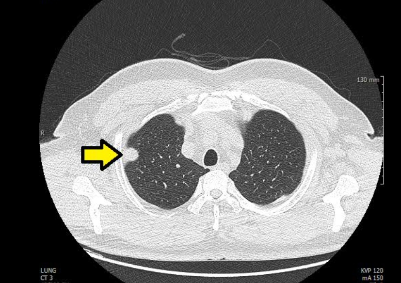
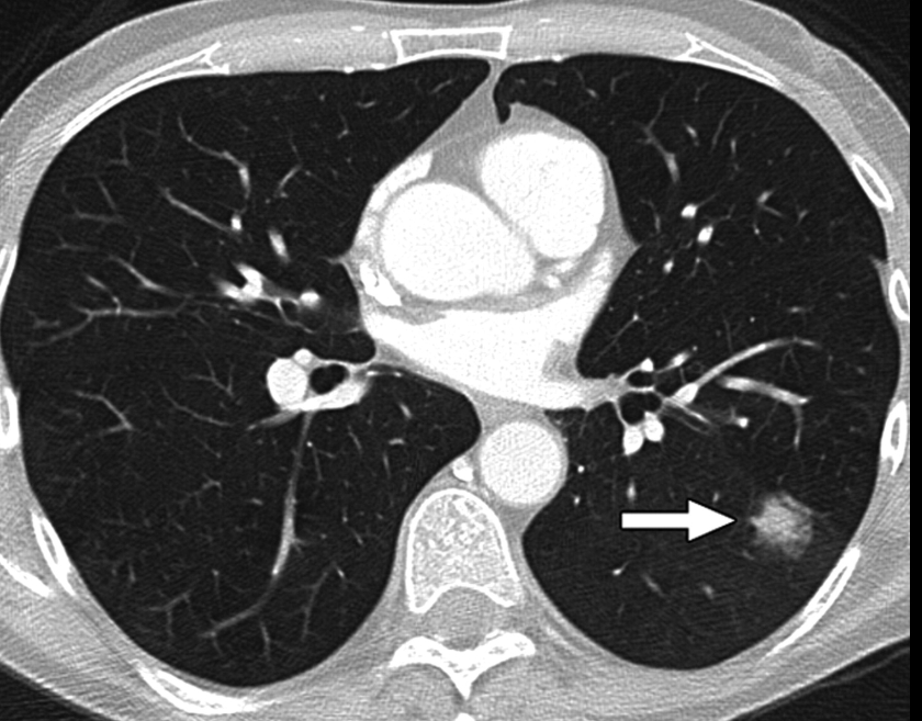
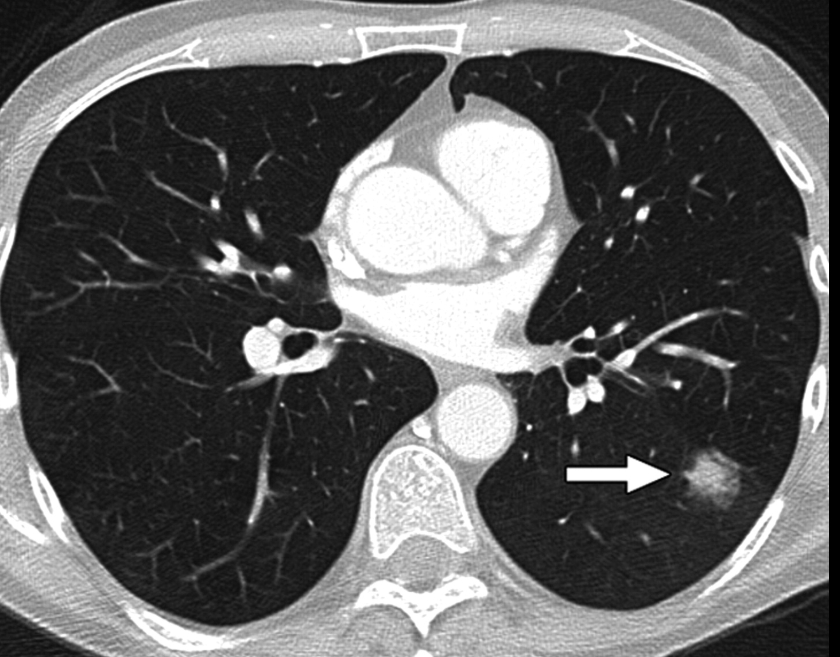
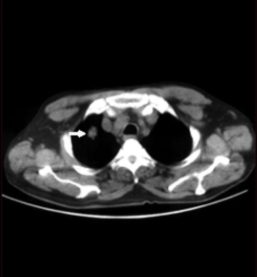
흉부ct로 볼수있는 질환 폐질환뿐 아니라 심장과 혈관, 흉막, 림프절, 뼈 구조까지 한 번에 보여줍니다. 폐렴, 결핵, 폐기종, 기관지확장증, 간질성 폐질환 같은 호흡기 질환은 기본이고, 폐에 생긴 작은 결절이나 혹도 세밀하게 확인할 수 있습니다. 폐암이나 전이암처럼 초기에 증상이 거의 없는 병은 CT로 발견되는 경우가 많아요.
혈관 관련 질환으로는 폐색전증(혈전이 폐혈관을 막는 병)이나 대동맥 박리(혈관 벽이 찢어지는 상태), 흉부 대동맥류(혈관이 부풀어 터질 위험이 있는 질환) 등이 있습니다. 조영제를 주입하면 혈관 내부 흐름까지 볼 수 있죠.
심장 주변의 염증, 심낭삼출(심장을 감싸는 막에 물이 고이는 현상), 늑골 골절, 림프절 비대도 함께 관찰할 수 있습니다. 가끔 건강검진으로 찍은 CT에서 본인도 몰랐던 흉막염이나 기흉이 발견되는 경우도 있어요. 그래서 “기침이 오래가면 CT를 찍어보라”는 말을 의사들이 자주 하는 겁니다.
흉부CT로 알 수 있는 질병
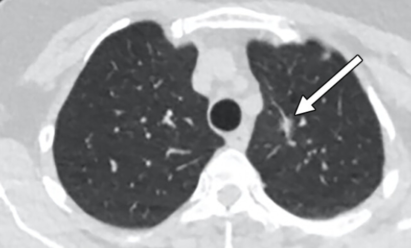
흉부CT는 병이 있는지 없는지를 넘어서, 병의 진행 정도와 주변 장기 침범 여부까지 보여줍니다. 예를 들어 폐암의 경우, 5mm 미만의 아주 작은 결절까지 찾아내고, 종양이 혈관이나 기관지에 닿았는지도 확인합니다. 초기에 잡아내면 완치율이 크게 높아지죠.
또한 폐렴이 감염인지, 결핵성인지, 종양에 의한 것인지도 구분할 수 있습니다. 엑스레이에서는 그냥 ‘흐린 그림자’로만 보이던 것도, CT에서는 염증의 경계와 내부 구조까지 뚜렷하게 드러납니다.
제 지인의 어머니는 기침이라고 생각해 병원을 늦게 갔는데, CT에서 결핵 흔적이 확인돼 다행히 조기에 치료를 시작했어요. 그분은 “CT가 내 생명 구했다”고 하시더라고요. 이처럼 흉부CT는 질병의 조기 발견뿐 아니라 치료 방향을 결정하는 중요한 역할을 합니다.


흉부ct로 볼수있는 질환
| 구분 | 흉부CT로 확인 가능한 질병·질환 | 설명 |
|---|---|---|
| 폐 질환 | 폐렴, 결핵, 폐기종, 간질성 폐질환 | 폐의 염증, 섬유화, 공기 공간 손상 등을 세밀하게 관찰할 수 있습니다. |
| 종양·암 | 폐암, 기관지암, 흉막종양 | 작은 결절(혹)도 5mm 이하까지 확인 가능하며, 조기 진단에 도움을 줍니다. |
| 혈관 질환 | 폐색전증, 대동맥 박리, 흉부 대동맥류 | 조영제 CT로 혈관 막힘이나 혈관 벽 손상을 정확하게 볼 수 있습니다. |
| 심장 및 심막 질환 | 심낭삼출, 심비대, 심장 주변 염증 | 심장을 둘러싼 막에 물이 차거나, 심장 크기 변화 등을 확인할 수 있습니다. |
| 흉막·늑골 질환 | 기흉, 흉막염, 늑골 골절 | 공기나 액체가 흉강 내에 차 있는지, 뼈 손상 여부를 세밀히 관찰합니다. |
| 림프절 질환 | 종격동 림프절 비대, 전이성 림프절 | 암의 전이나 감염 여부를 파악하는 데 중요한 지표로 사용됩니다. |
| 감염성 질환 | 세균성 폐렴, 바이러스성 폐렴, 진균 감염 | 염증의 분포 형태로 감염 원인을 구분해 치료 방향을 결정합니다. |
| 기관지 질환 | 기관지확장증, 만성 기관지염 | 기관지의 모양과 두께 변화를 통해 만성 호흡기질환을 조기 발견합니다. |
| 폐 섬유화 질환 | 특발성 폐섬유증, 미만성 폐질환 | 폐가 딱딱하게 굳는 과정과 손상 범위를 정밀하게 평가합니다. |
| 기타 질환 | 흉강 내 종양, 낭종, 이물, 수술 후 변화 | 흉부 내부의 구조 변화나 수술 후 합병증까지 확인할 수 있습니다. |


흉부CT 방사선 피폭량
흉부CT는 엑스레이보다 방사선량이 많습니다. 엑스레이가 약 0.1mSv 정도라면, CT는 평균 5~7mSv 정도입니다. 쉽게 말해 우리가 2년 동안 자연환경에서 받는 방사선량과 비슷하다고 보면 됩니다.
물론 “방사선”이라는 단어 때문에 걱정하시는 분들이 많아요. 하지만 의료용 방사선은 정확한 진단을 위한 필수적인 도구이고, 필요할 때 받는 검사는 그만큼 가치가 있습니다. 불필요한 검사를 반복하지 않는 이상, 건강에 미치는 영향은 매우 미미합니다.
게다가 최근에는 저선량 CT 기술이 발전하면서, 방사선량을 1mSv 이하로 줄이면서도 충분한 화질을 확보할 수 있게 되었습니다. 폐암 조기검진용으로는 대부분 저선량 CT를 사용하고 있어요.
흉부CT 금식
흉부CT는 일반적으로 금식이 필요하지 않습니다. 조영제를 사용하는 경우에는 검사 4~6시간 전부터 음식이나 음료를 삼가야 합니다. 조영제가 위에 남아 있으면 구토나 속 불편함이 생길 수 있기 때문이에요.
검사 전에는 금속 액세서리나 속옷의 와이어, 보청기, 목걸이 등은 모두 제거해야 합니다. 이런 것들이 영상에 그림자처럼 잡혀 검사에 방해가 될 수 있습니다. 제 지인은 너무 긴장한 나머지 전날 저녁부터 아무것도 안 먹고 갔는데, 간호사가 “그럴 필요 없다”며 웃었다고 하더군요. 의료진 안내에만 따라도 충분합니다. 괜히 불안해서 스스로 고생하지 않으셔도 됩니다.


흉부CT 검사
검사 과정은 생각보다 간단합니다. 검사대에 누워 숨을 들이마시고 잠시 멈추라는 지시에 따라야 해요. 기계가 부드럽게 돌아가며 영상을 촬영하는데, 소리는 조금 들리지만 아프거나 불편하지 않습니다. 보통 촬영 시간은 5분 이내입니다. 조영제를 사용할 때는 팔에 주사를 놓는데, 이때 약간의 열감이나 입안의 금속맛이 느껴질 수 있습니다. 하지만 대부분 몇 분 안에 사라지고, 검사 후에는 바로 일상생활이 가능합니다. 조영제를 맞은 경우엔 물을 충분히 마셔 신장을 보호하면 좋습니다.
결과는 영상의학과 전문의가 분석해서 1~2일 내에 나옵니다. 친구 중 한 명은 CT 결과를 바로 모바일 앱으로 확인할 수 있는 병원에서 받았는데, “생각보다 금방이라 놀랐다”고 하더군요.
저선량 흉부CT
저선량 흉부CT는 말 그대로 방사선량을 크게 줄인 검사입니다. 일반 CT보다 70~80% 정도 적은 방사선을 사용하지만, 폐 질환을 발견하는 데는 충분히 효과적입니다. 40세 이상 흡연자나 가족 중 폐암 환자가 있는 분, 혹은 미세먼지와 분진에 많이 노출되는 직업군에게 권장됩니다. 미국과 유럽에서는 이미 국가검진 항목으로 시행 중이고, 우리나라도 폐암 검진 시 저선량 CT를 권장하고 있습니다.
제 아버지도 흡연자라 1년에 한 번씩 저선량 CT를 받으세요. 처음엔 귀찮다고 하셨지만, “혹시 모르는 불안감이 사라져서 마음이 편하다”고 하시더라고요. 그 말이 정말 인상 깊었어요.


흉부CT 촬영 비용
흉부CT 비용은 병원마다 다르지만, 대체로 10만~30만 원 선입니다. 조영제를 사용하면 5만~10만 원 정도 추가됩니다. 대학병원은 다소 비싼 편이고, 개인 영상의학과는 비교적 저렴합니다.
저선량 CT는 일반 CT보다 조금 저렴하며, 폐암 국가검진 대상자라면 보험 적용으로 본인 부담이 줄어듭니다. 실제로 지인 중 한 명은 건강검진센터에서 9만 원에 검사를 받았다고 하더군요. 검사 목적(진단용인지, 검진용인지)에 따라 보험 적용 여부가 달라지므로 미리 문의하는 게 좋습니다.
저선량 흉부CT 비용
저선량 CT의 비용은 장비 수준, 조영제 사용 여부, 영상 판독료 포함 여부에 따라 달라집니다. 평균적으로 8만~15만 원 선이며, 국가검진 항목으로 포함된 경우엔 더 저렴합니다.
건강검진 목적으로 받을 땐 보통 비보험이지만, 흡연자나 폐질환 고위험군이라면 보험 혜택이 주어질 수 있습니다. 비용을 고려하더라도 “지금 이 시점에 한 번쯤 찍어볼 만한 검사인가”를 판단하는 게 더 중요합니다.


흉부ct로 볼수있는 질환 10가지
Q1. 흉부CT를 찍을 때 옷은 어떻게 입어야 하나요?
A. 흉부CT를 찍을 때는 가벼운 복장이 좋습니다. 금속 단추나 지퍼, 와이어가 있는 옷은 영상에 간섭이 생기기 때문에 병원에서 주는 검사용 가운으로 갈아입게 됩니다. 속옷 중 브래지어의 와이어나 장식도 제거해야 하고, 목걸이·귀걸이·시계 등 금속 액세서리도 모두 벗는 게 좋아요. 겨울철에는 몸이 차가울 수 있으니 얇은 내의 정도는 착용한 채로 검사할 수 있습니다.
Q2. 흉부CT를 찍을 때 숨을 참으라고 하는 이유는 뭔가요?
A. CT 촬영 중에는 단 몇 초라도 숨을 참아야 합니다. 숨을 들이마시거나 내쉴 때 가슴이 미세하게 움직이기 때문에 영상이 흐려질 수 있거든요. 정확한 영상을 얻기 위해 잠시 숨을 멈추라는 지시가 있습니다. “숨을 들이마시고 멈추세요”라는 안내가 들리면 그때만 짧게 참으면 됩니다. 대부분 10초 이내로 끝나기 때문에 어렵지 않아요.
Q3. 흉부CT를 찍으면 심장 질환도 알 수 있나요?
A. 기본적인 흉부CT로도 심장의 크기나 모양, 심낭삼출(심장을 둘러싼 막에 물이 고이는 상태) 등은 확인할 수 있습니다. 하지만 관상동맥 질환이나 심장 혈류까지 보려면 ‘심장CT’나 ‘관상동맥 CT’ 같은 전문 검사가 필요합니다. 흉부CT가 심장 이상을 완전히 진단하진 않지만, 심장 주변의 구조 이상을 간접적으로 파악할 수는 있습니다.
Q4. 폐에 흉터가 있다고 들었는데, CT로 구별이 되나요?
A. 네, CT는 폐의 섬유화(흉터처럼 굳은 부위)를 구분하는 데 매우 뛰어납니다. 예전에 결핵이나 폐렴을 앓았던 사람은 폐에 미세한 섬유 조직이 남아 있을 수 있는데, CT를 통해 이 부분이 ‘활성 염증’인지 ‘과거 흉터’인지 구분할 수 있습니다. 과거 병력과 함께 보면 치료가 필요한 상태인지 흔적인지를 정확히 알 수 있습니다.


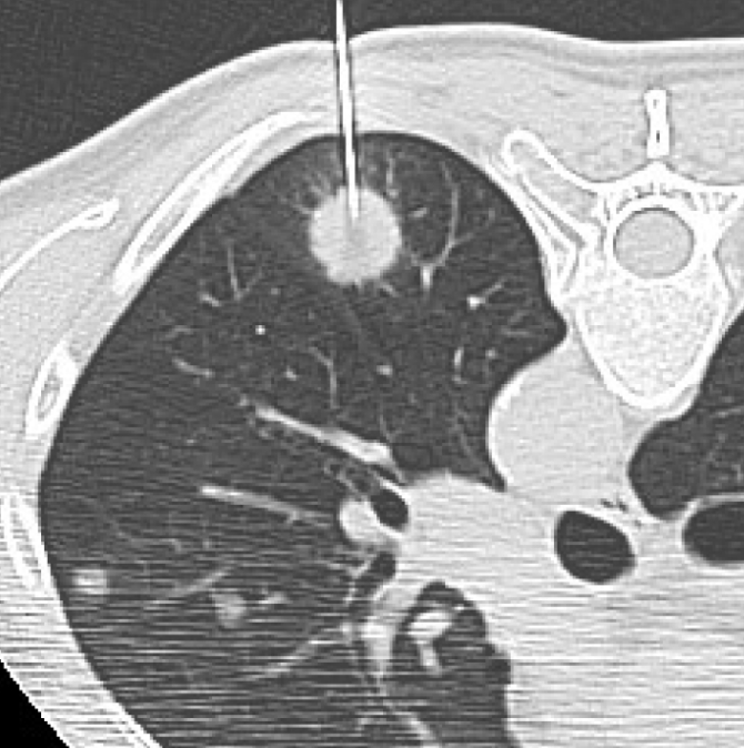
Q5. 흉부CT에서 종양이 발견되면 바로 조직검사를 하나요?
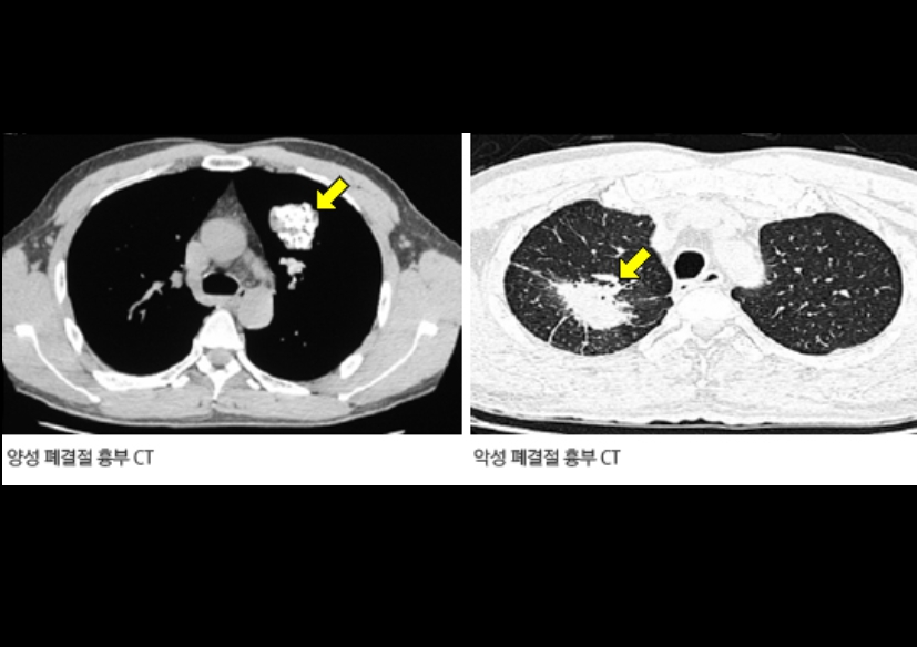
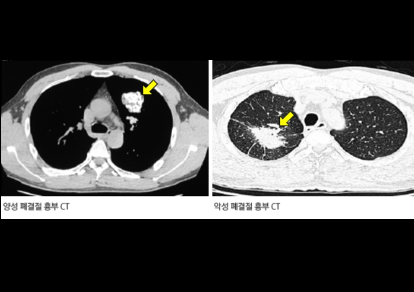
A. 꼭 그렇지는 않습니다. 결절이나 종양이 발견되더라도 크기, 모양, 경계, 주변 혈관과의 거리 등을 종합적으로 판단한 후 결정합니다. 크기가 작고 둥글며 경계가 뚜렷한 경우는 양성일 가능성이 높아 3~6개월 후 추적검사를 하기도 합니다. 그러나 비정상적인 모양이나 크기 변화가 빠른 경우에는 조직검사(생검)를 진행합니다.
Q6. 조영제는 몸에 해롭지 않나요?
A. 조영제는 대부분의 사람에게 안전합니다. 요오드 성분이 들어 있기 때문에 신장 질환이 있거나 갑상선 질환이 있는 사람은 주의가 필요합니다. 드물게 알레르기 반응이 나타날 수도 있지만, 대부분은 가벼운 가려움이나 두드러기 정도입니다. 병원에서는 검사 전 알레르기 여부를 확인하고, 이상이 생기면 즉시 조치할 준비가 되어 있으니 너무 걱정하지 않으셔도 됩니다.
Q7. 검사를 자주 받으면 피폭이 누적되나요?
A. 네, 방사선은 누적될 수 있습니다. 하지만 흉부CT 한 번의 피폭량은 자연 상태에서 2년 동안 받는 양과 비슷하기 때문에 1년에 한두 번 정도는 안전한 수준입니다. 병원에서는 동일 부위의 중복 검사를 피하기 위해 이전 영상 기록을 참고하니, 검사를 받을 때 “예전에 언제, 어디서 찍었다”고 알려주면 불필요한 노출을 줄일 수 있습니다.
Q8. 흉부CT 결과에서 ‘폐결절’이 나왔다는 말은 뭔가요?
A. 흉부ct로 볼수있는 질환 폐결절은 말 그대로 폐 안에 작은 혹이 있다는 뜻입니다. 대부분 양성(암이 아님)이고, 오래된 염증이나 석회화에 의한 것일 수도 있습니다. 그러나 결절의 크기가 8mm 이상이거나, 형태가 불규칙한 경우에는 추가 검사가 필요합니다. 영상의학과에서는 결절의 밀도, 경계, 주변 변화 등을 세밀하게 분석해 암 가능성을 판단합니다.


Q9. 흉부CT를 찍고 나서 어지러움이나 구토가 생길 수도 있나요?
A. 조영제를 사용했다면 일시적인 어지러움, 금속맛, 구역감이 나타날 수 있습니다. 이는 조영제가 몸을 순환하면서 생기는 자연스러운 반응으로, 대부분 몇 분 안에 사라집니다. 그러나 호흡곤란, 심한 구토, 피부 발진이 동반된다면 알레르기 반응일 수 있으니 즉시 의료진에게 알려야 합니다. 조영제를 쓰지 않았다면 이런 증상은 거의 없습니다.
Q10. CT 결과는 어떻게 받아보나요?
A. 대부분의 병원에서는 검사 후 하루 이내에 결과를 받을 수 있습니다. 영상의학과 전문의가 CT 이미지를 분석해 보고서를 작성하고, 담당 의사가 이를 바탕으로 설명해 줍니다. 요즘은 병원 앱이나 포털을 통해 직접 이미지를 확인할 수도 있고, CD나 USB로 영상을 받아볼 수도 있습니다. 지인 중 한 명은 병원 앱으로 바로 CT 사진을 확인하고 의사에게 원격 상담까지 받았다고 하더군요. 기술이 정말 빠르게 발전하고 있죠.
'건강 이야기·검진 정보' 카테고리의 다른 글
| 갑상선 초음파 검사비용 (0) | 2025.10.29 |
|---|---|
| 폐결핵 증상 - 내 몸이 보내는 신호 5가지 (0) | 2025.10.26 |
| 알부민 수치 낮으면 - 알부민 부족 증상 (0) | 2025.10.13 |
| 중입자 가속기로 치료못하는암 (0) | 2025.10.09 |
| 좌욕의 효능, 좌욕하는 방법 (0) | 2025.10.07 |